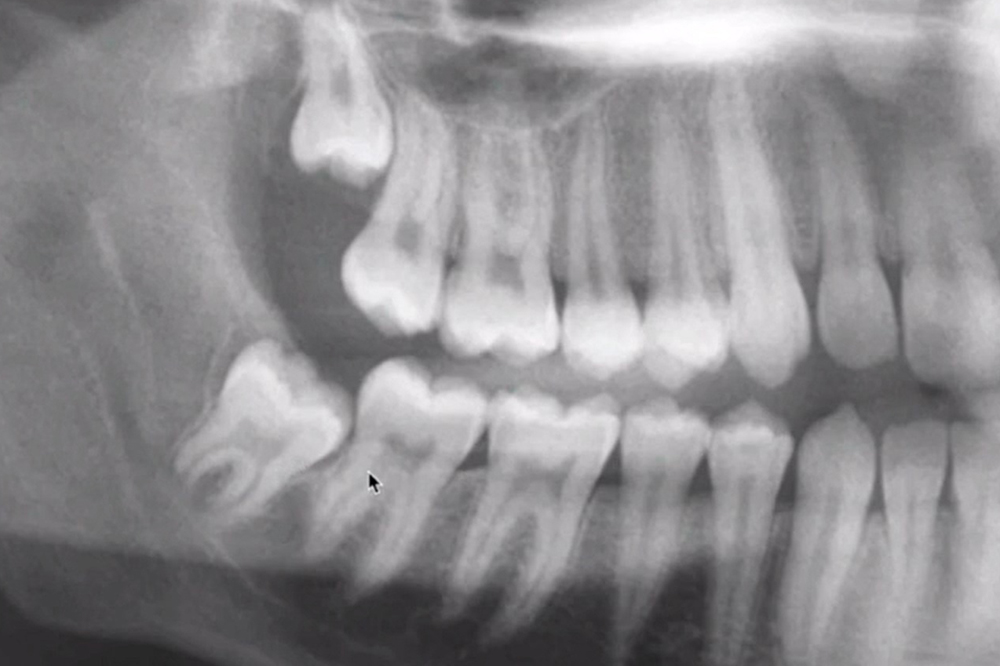
Wisdom Teeth Removal
What are my options for having my wisdom teeth removed at The Lakes Family Dental?
Depending on the complexity, wisdom teeth can be removed
– under local anaesthesia with us
– with the aid of Nitrous Oxide or oral sedation
– under general anaesthesia, at a hospital, with an oral and maxillofacial surgeon
Our dentists at The Lakes Family Dental, Berkeley Vale, can guide you to the best solution for your needs.
Do I need to have my wisdom teeth removed?
If you’re experiencing pain from a wisdom tooth, have swelling in the gum surrounding the tooth, or the tooth isn’t able to fully emerge into your mouth, it is often necessary to have the wisdom tooth removed.
Not all wisdom teeth require removal. If they are fully erupted into the proper position, they can function normally like other teeth.
However, if the tooth is partially erupted and difficult to clean, then bacteria can accumulate around it, resulting in infection, pain, tooth decay/damage to adjacent teeth, gum disease and cyst formation.
What to expect after surgery?
Recovery from wisdom teeth removal typically takes a few days to a week. Swelling, mild discomfort, and some bleeding are normal, especially within the first 24 hours. We will provide specific aftercare instructions, which may include:
- Applying ice packs to reduce swelling
- Taking prescribed or over-the-counter pain relief
- Eating soft foods
- Avoiding smoking, alcohol, and exercises for the first few days
How long does the procedure take?
Most wisdom teeth extractions take between 30 and 60 minutes, depending on the complexity.
When can I return to work or study?
Most people can return to normal activities within 2–3 days, but strenuous activity should be avoided for at least a week.
Will I need time off for recovery?
Yes, it’s recommended to take at least one or two days off to rest and allow initial healing.
