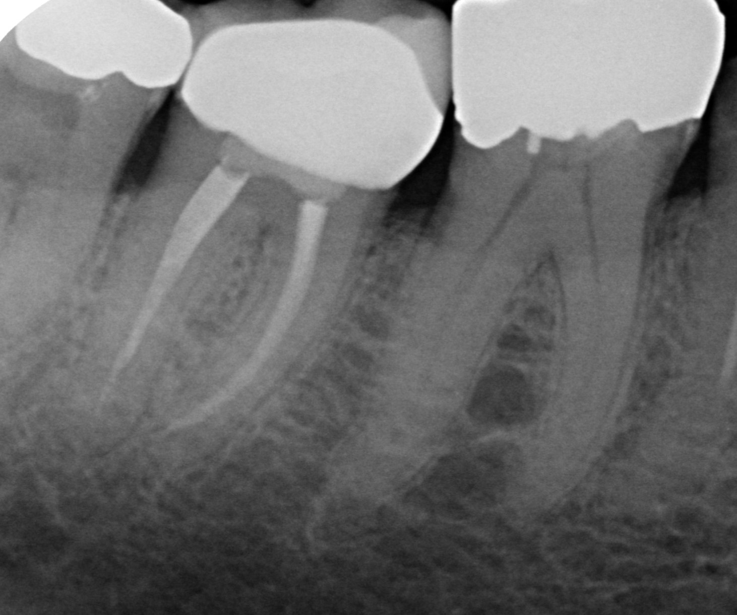
Root Canal Therapy
Root canal therapy helps save a tooth that is badly damaged or severely infected. Successful treatment eliminates the infection and the resulting pain, thereby preventing tooth loss.
When a tooth is severely damaged, has an extensive crack or suffers trauma, it can result in inflammation and/or infection of the tooth. The centre of the root contains the nerves, blood vessels, and other tissues that help form the tooth initially and aid in its function. When damage to these tissues occurs, infection, toothache, or abscess may follow.
Root canal therapy focuses on removing all infected or inflamed tissue from the centre of the tooth. Thus, eliminating the infection and resultant pain.
Signs of an infected tooth
- Severe, lingering pain
- Pain not relieved by painkillers
- Pain that affects your sleep
- Severe pain when chewing
- Swelling
- Pus draining
Why save the tooth if it is infected?
Nothing looks, feels or functions like your natural tooth.
With successful root canal therapy, the tooth can continue to function normally and can be restored to its original shape, resembling your natural tooth. Having your own tooth is usually stronger and more comfortable to bite and chew with, and much cheaper to maintain.
The most frequent concern our patients have regarding their missing teeth is unhappiness with the gap in their smile. Some find that it affects their ability to chew certain foods. While we have several options to replace a missing tooth, each has its limitations and is associated with a cost.
What happens after the root canal treatment?
After a root canal treatment, your tooth may need either a filling or a crown. Often, a broken-down back tooth requires a crown after root canal treatment to help it last longer.
What are my other treatment options?
The only alternative to a root canal treatment is to remove (extract) the tooth from the mouth.
